
Diagnóstico
Discussão do caso na fase de diagnóstico e planejamento.

Disponibilidade semanal e flexível, inclusive à noite ou sábados em casos de urgência.
Agendamento

Sessão única em 90% dos casos
Tempo

Materiais
100% do material de endo: motor, localizador, ultrassom portátil, câmera intra-oral e câmera profissional.

Relatório ao final do tratamento: e com isso, a segurança de ter maior controle sobre a qualidade do procedimento
Relatório Final

Cuidado do pós operatório
Acompanhamento

Sobre seu endodontista
Sou o Dr. Guilherme Augusto Albuquerque de Sousa, cirurgião dentista formado pela Faculdade de Odontologia de Piracicaba - FOP UNICAMP, Pós-granduando em Endodontia pela Faculdade São Leopoldo Mandic.
Minha missão é facilitar o dia a dia dos colegas dentistas oferecendo um serviço especializado de Endo delivery com excelência, segurança, praticidade e levar um atendimento endodôntico humanizado, diretamente ao seu consultório, proporcionando mais comodidade para você e seus pacientes.
Acredito que a parceria entre profissionais é essencial para oferecer um atendimento completo e de excelência. Ao me chamar para atuar como endodontista delivery, você tem a segurança de contar com uma profissional comprometida, equipada e preparada para atender com técnica, respeito e empatia.
Pra quem é?
Para qualquer dentista que tenha ou alugue consultório com Rx e precise de um endodelivery com disponibilidade.
Se hoje você:
-
Não realiza endodontia e acaba encaminhando pacientes — e receita — para fora da clínica…
-
Tenta fazer alguns casos, mas sabe o quanto podem ser imprevisíveis e desgastantes…
-
Ou demora para finalizar, ocupando tempo, cadeira e gerando prejuízo…
Então você precisa conhecer a solução mais simples do mercado.
Principalmente se você deseja:
-
Resolver tudo dentro da sua clínica, recebendo pelo tratamento sem ter que fazer o canal.
-
Aproveitar salas e horários ociosos, transformando tempo livre em faturamento.
-
Ampliar seus serviços com mais segurança e previsibilidade.
-
Manter seus pacientes por perto, sem precisar encaminhar e sem se preocupar com a qualidade do atendimento externo.

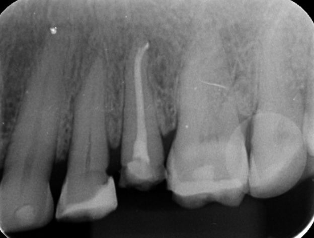
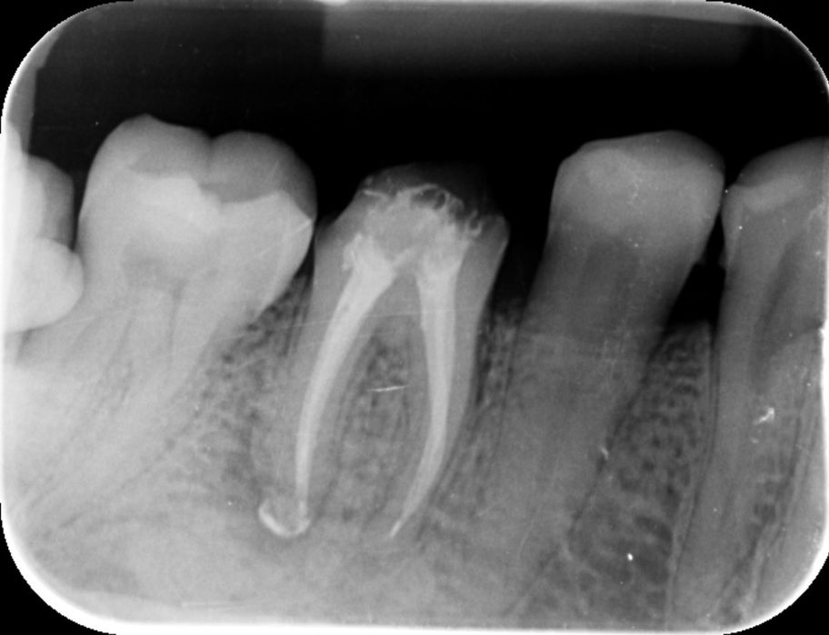
Alguns casos de sucesso
Se a sua clínica não tem um especialista que atenda todos os casos de endodontia... Você está deixando dinheiro na mesa.

Por que ganhar menos dinheiro se você pode ganhar mais?
Tratar canal por dor ou abscesso não é opcional — é uma necessidade que se repete. A endodontia também é a base para muitos tratamentos restauradores e protéticos: quando não há um endodontista disponível, todo o resto pode travar.
EndoDelivery resolve isso para você: eu atendo os seus pacientes no seu consultório, com todo material e protocolo profissional, e entrego o paciente pronto para prosseguir com o tratamento final na sua clínica.
Resultados que você ganha:
-
Mais receita sem aumentar sua agenda.
-
Fidelização: o paciente continua associado à sua clínica, não apenas ao especialista.
-
Fluxo previsível: casos recorrentes viram renda constante.
-
Praticidade: comunicação e logística simplificadas — você indica, eu executo.
Decida: continuar perdendo renda e pacientes por encaminhar ou somar àqueles que já dominam o mercado oferecendo tratamentos multidisciplinares de qualidade.

Perguntas e Respostas
Sim, o indicador não precisa se preocupar com nada, todos os materiais e insumos relacionados à Endodontia são de minha responsabilidade.
O custo do deslocamento já está calculado dentro dos valores da tabela fixa apresentada ao indicador.
Sim, após cada caso finalizado receba um relatório endodôntico completo com todas informações pertinentes.
Faço sessão única na maioria dos casos.
Super simples, os agendamentos são feitos através do link " Preciso de um Endodelivery"
Caso o indicador se sinta a vontade eu me responsabilizo pelo controle pós- operatório diretamente com o paciente
Como funciona o Endodelivery?
O que dizem os indicadores e pacientes
E tudo isso vai te possibilitar...
Agregar valor ao seu plano de tratamento.
E com isso, você vai poder cobrar com segurança e tranquilidade do seu paciente.
_edited_edited.png)
























